Пн–Вс: 10:00–23:00
+7 499 714-89-22
Справочная
+7 936 148-64-61
Стоматология
М Нагатинская
Варшавское ш., д. 32, Москва
Записаться онлайн

Лечение зубных каналов под микроскопом

Здравствуйте. Меня зовут Илхом, я — ведущий врач-эндодонтист клиники Спецмед. За годы практики я убедился: самый надежный способ сохранить зуб, который еще десять лет назад пришлось бы удалить — это виртуозная работа внутри его корневых каналов. И сегодня для такой работы у нас есть главный инструмент — дентальный микроскоп.

Почему проблема глубже, чем кажется?

Когда кариес добирается до пульпы («нерва»), развивается пульпит. Если инфекция идет дальше, в ткани вокруг корня — это периодонтит. Боль — лишь симптом. Реальная проблема — миллионы бактерий в сложной системе корневых каналов. Пропустить даже один из них, не найти дополнительный (атипичный) канал или не до конца очистить основной — значит обречь лечение на неудачу. Без увеличения это часто происходит незаметно для врача.

Лечение каналов под микроскопом: в чем принципиальная разница?

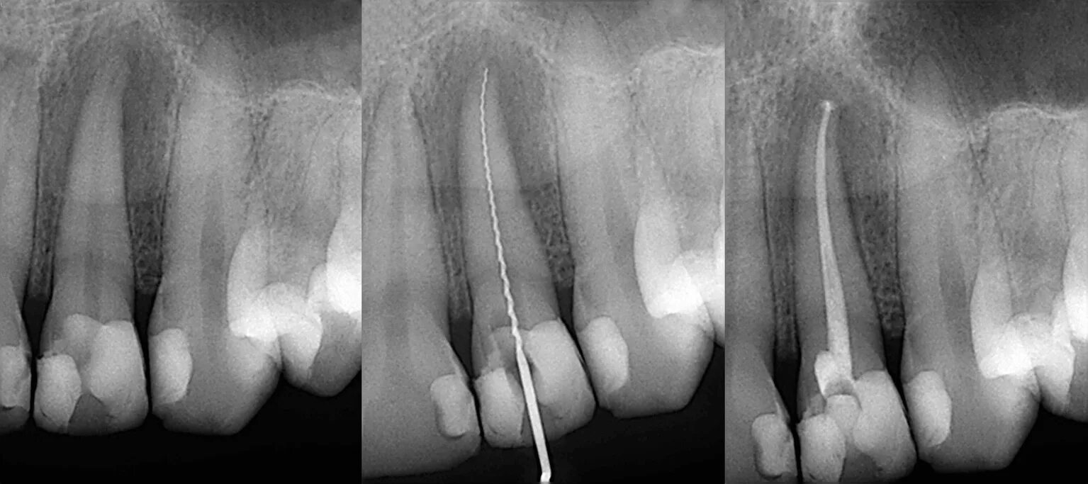
Представьте, что вам нужно прочистить и запломбировать три извилистых полых трубки толщиной с волос, спрятанных глубоко в челюсти. Без увеличения врач работает почти вслепую, на ощупь. Под микроскопом с увеличением в 20-30 раз эти «трубки» превращаются в хорошо освещенные тоннели, где виден каждый нюанс.

Ключевые термины, которые мы видим и контролируем:

  • Устья каналов: Точки входа. Под микроскопом они находятся мгновенно.

  • Атипичные каналы: Дополнительные, часто скрытые. Микроскоп позволяет их найти в 90% сложных случаев.

  • Перфорация (микроперфорация): Случайное отверстие в стенке корня. Под увеличением ее можно сразу закрыть специальным материалом.

  • Обломок инструмента: Если такая неприятность случилась, только под микроскопом есть шанс его аккуратно извлечь, не повредив корень.

Неоспоримые преимущества методики

Для пациента это означает не просто «полечили каналы», а:

  1. Максимальное сохранение тканей зуба. Мы работаем точечно, не рассверливая зуб лишний раз «на всякий случай».

  2. Гарантия чистоты. Все каналы, включая мельчайшие ответвления, будут найдены и обеззаражены.

  3. Спасение сложных зубов. Лечение повторно запломбированных каналов, извилистых каналов, резорцин-формалиновых зубов.

  4. Долгосрочный результат. Тщательно очищенный и плотно запломбированный канал — основа, на которой зуб простоит десятилетия.

  5. Предсказуемость. Мы видим проблему и процесс ее решения, что сводит риски к минимуму.

Как проходит лечение: этап за этапом

Под анестезией, а потому совершенно безболезненно, мы:

  1. Обеспечиваем

  2. Под контролем микроскопа находим, измеряем длину (апекслокатором) и механически обрабатываем каждый канал.

  3. Многократно промываем каналы антисептиками для полной стерилизации.

  4. Плотно и герметично пломбируем их гуттаперчей — материалом, ставшим золотым стандартом в эндодонтии.

  5. Восстанавливаем коронковую часть зуба.

Если ваш зуб дал о себе знать острой болью или дискомфортом при накусывании, не откладывайте. Современная эндодонтия под микроскопом — это не больно, надежно и сохраняет ваш собственный зуб, что всегда лучше любой, даже самой дорогой, имплантации.

Не ждите осложнений. Запишитесь на консультацию и цифровую диагностику в клинику Спецмед. Доверьте здоровье своих зубов технологии, которая видит все. Позвоните нам по телефону или оставьте заявку на сайте для записи к эндодонтисту.